【お口の相談コーナー】多数永久歯の先天欠如について
矯正科・外来医長・社 浩太郎

【お口の相談コーナー】多数永久歯の先天欠如について
歯学部附属病院
矯正科 社 浩太郎 外来医長
「歯が生えてこないんです」というご相談がよくあります。歯の欠如は、乳歯よりも永久歯で高い頻度で起こります。なかでも6歯以上の歯が先天的に欠如している場合は、矯正治療に健康保険が適用されます。歯の種類別では、第2小臼歯(前から5番目の永久歯)と側切歯(前から2番目の永久歯)の欠如が多いです。永久歯が欠如している場合、その部分の乳歯(例えば第2乳臼歯)が長期間残存します。しかしながら、乳歯はずっと残る歯ではありませんので、いつかは人工の歯で補ってあげる必要があります。
このように、多くの歯が先天欠如しているお子さんも成長発育に伴って、歯や歯並び、かみ合わせは変化します。歯を補う治療で、良い歯並びやかみ合わせにしてあげるには、第一にあごや歯の成長発育を考慮した矯正治療と小児歯科の治療による前準備や、状態の悪化を予防してあげるような治療計画を練ってあげる必要があります。
多数永久歯の先天欠如を、お子さんの時期から放っておくと、歯のない箇所に隣の永久歯が移動したり、深くかみこむようなかみ合わせになったりして、歯並びやお顔の見た目に影響したり、食べ物を咬むことが難しくなることが心配されます。
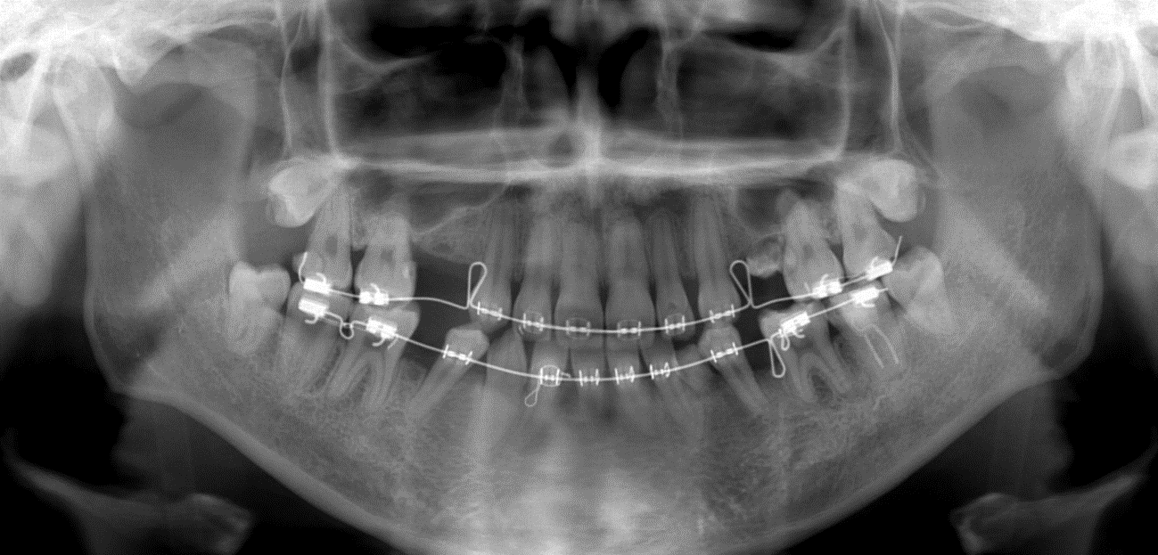
写真1 には、大人になってから、最終的に補綴歯科治療を行うことを前提として矯正歯科治療を行っている例で、上あご左右の第1と第2小臼歯(4番目と5番目の永久歯)と、下あご右側の第2小臼歯、左側の犬歯(3番目の永久歯)と第2小臼歯7本が欠如した症例をご紹介します。歯を補うために適切に空隙を開けるようにしたり、歯の傾きを変えたりしています。
歯が生えてこない症例のなかでも、多くの永久歯が欠如している場合について、治療が必要であることと、その理由についてご案内いたしました。気になることがありましたら、担当医にお気軽にご相談ください。
(2017年4月「大阪大学歯学部附属病院広報誌 NewsLetter vol.11」より)
https://hospital.dent.osaka-u.ac.jp/hospital/hospital_000430.html

写真1
(2017年4月取材)
