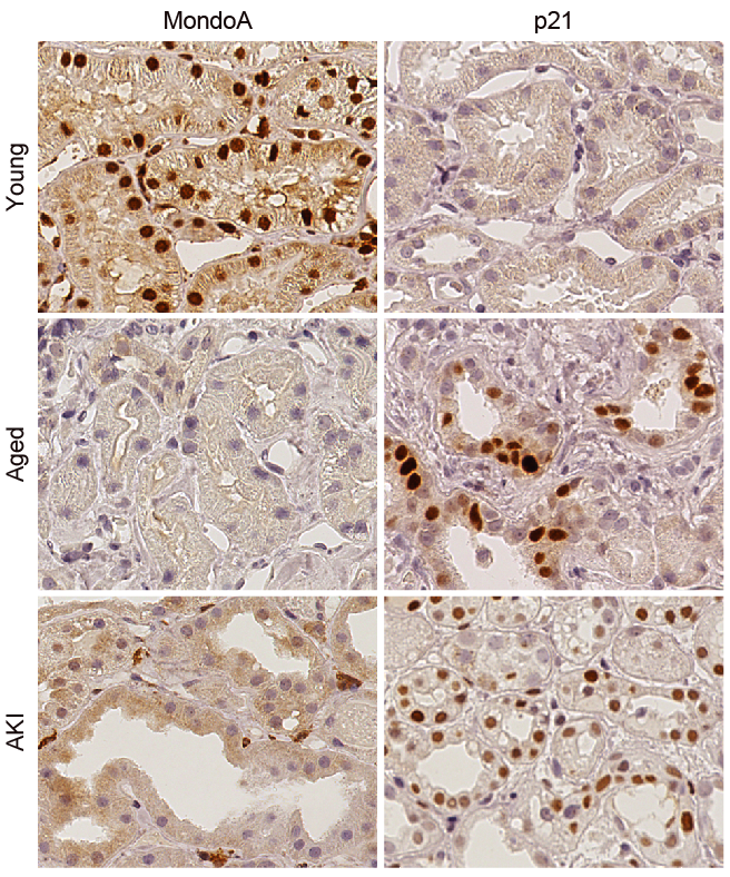
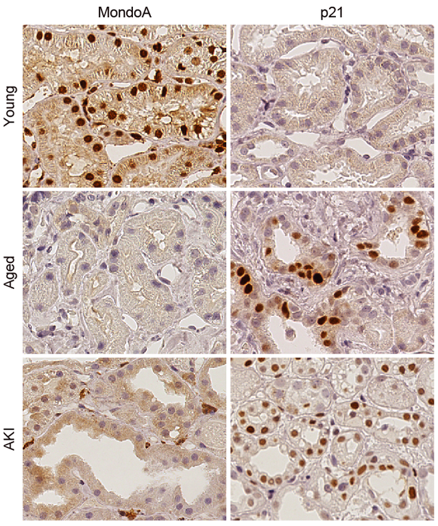
20220302_2_fig_2.png https://resou.osaka-u.ac.jp/api/en/research/2022/files/20220302_2_fig_2.png/view https://resou.osaka-u.ac.jp/api/en/research/2022/files/20220302_2_fig_2.png/@@download/image/20220302_2_fig_2.png 20220302_2_fig_2.png Click to view full-size image… Size: 1.3 MB